Hipoplasia del esmalte
| ||||||
Hipoplasia del esmalte. (HE) es la alteración en la constitución del esmalte y consecuentemente de la dentina. Además se define como un defecto del desarrollo de los tejidos duros del diente que ocurre antes de la erupción del mismo como resultado de un trastorno en la formación del esmalte.
Etipatogenia
Como causa de esta alteración se citan los trastornos que afectan al metabolismo y por tanto la formación del diente, sobre todo del esmalte, tales como enfermedades febriles, deficiencias nutricionales, trastornos endocrinos, discrasias sanguíneas y sustancias tóxicas.
Características clínicas
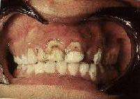
Las alteraciones hipoplásticas varían desde manchas opacas hasta estrías o bandas profundas que provocan la discontinuidad de la superficie del esmalte. El tamaño de estas estrías depende de la duración del efecto nocivo al metabolismo. Se sabe que la calcificación intrauterina de la corona dentaria es hasta la mitad; si en este período hay una injuria capaz de afectar la calcificación, tendrá lugar una estría en el esmalte llamada línea neonatal. Cuando el defecto se presenta en un diente aislado se le da el nombre de diente de Tuner, que parece deberse a una causa local.
- Hipoplasia de los tercios, conocida como diente de turner
Otras patologías que alteran la constitución del esmalte
- Fluorosis dental
- Amelogénesis imperfecta
Fluorosis dental
La fluorosis dental (FD), conocida también como esmalte moteado, es un trastorno de la calcificación del esmalte causado por un agente externo.
Etipatogenia
Esta alteración es provocada por cantidades elevadas de fluoruros durante la calcificación de los dientes permanentes; sobre todo en las aguas, la concentración de flúor no debe pasar de una parte por millón (1/m), pero esto depende del clima y de la zona geográfica.
Características clínicas
La envergadura de la hipocalcificación, que depende de la cantidad de sustancia ingerida y varía desde puntos de hipocalcificación hasta la afección de la corona dentaria completa. Los dientes tienen aspecto calizo o bien están manchados con pigmentos exógenos y su color oscila entre amarillo y carmelitoso.
Técnica para la remoción de manchas dentales
Microabrasión del esmalte. La Técnica de Microabrasión del esmalte es una Técnica de Blanqueamiento conservadora y efectiva, constituye una alternativa estética, basada en la micro reducción química y mecánica del esmalte superficial, sólo si se diagnostica y ubica de manera efectiva la mancha a tratar. Por ser un método de eliminación de defectos de descalcificación de menos de 0,2 mm de profundidad a nivel del esmalte, es ideal para desmineralizaciones superficiales, manchas blancas y marrones incluyendo decoloraciones debido a Fluorosis.
El material a utilizar es una pasta con concentración de ácido clorhídrico al 0,12 % y partículas de carburo de silicio. Este compuesto, logra eliminar defectos multicolores, puntos, rayas marrones, anaranjadas, crema o amarrillas producto de descalcificación o desmineralización del esmalte superficial.
Amelogénesis imperfecta
La amelogénesis imperfecta (Ai), es una alteración hereditaria del desarrollo del esmalte, que afecta tanto los dientes temporales como los permanentes.
- Hipoplasia marcada en los molares permanentes
Etiopatogenia
Se desconoce la causa que provoca la AI, pero la herencia tiene gran importancia, trasmitiéndose como factor hereditario dominante, no ligado al sexo.
Características clínicas
La Amelogénesis imperfecta, se manifiesta como hipocalcificación o hipoplasia, lo que depende del tiempo de interferencia que haya habido en la formación del esmalte.
Si el trastorno afecta la primera etapa, habrá deficiencia en la cantidad de matriz adamantina formada y resultará una hipoplasia del esmalte, en que el diente aparece con tamaño y color normales, sin pigmentación aparente, pero presenta hipersensibilidad en los cambios térmicos a una rápida abrasión o pérdida del esmalte, si el daño ocurre en la segunda etapa, cuando la matriz está formada, se originará una hipocalcificación del esmalte; en ella el diente tiene forma y tamaño normales pero la calidad del esmalte es mala, se tiñe fácilmente y se fractura dejando expuesta la dentina; este hecho reactiva los odontoblastos de la pulpa, que comienza a producir dentina, lo que origina obliteración de la cámara pulpar.
Curiosidad
El esmalte, es el tejido más duro del organismo y está formado por un 96% de minerales, principalmente apatitas, un 2% de sustancias orgánicas y un 2% de agua.
Fuentes
- Künzel, W. y F. Soto Padrón: Relación entre la frecuencia e intensidad de las manchas blancas del esmalte causadas por la fluorosis dental y la concentración de flúor en el agua potable de Cuba. Rev. Cub. Estomatología 11, 1974.
- Santana, J. C. et al: Odontodisplasia. Rev. Cub. Estomatología 9, 1972.
- Santana Garay Julio C. Atlas de patología del complejo bucal. Editorial Científico-Técnica, La Habana.1985
